歯ぎしり、食いしばり

    その頭痛や歯の痛み、実は「無意識の癖」が原因かもしれません。

    八千代緑が丘駅より徒歩1分の歯医者、公園都市プラザわかば歯科の歯ぎしり、食いしばり

    「朝起きると顎がだるい、疲れている」
    「歯医者で『歯が削れている』『ヒビがある』と言われた」
    「原因不明の頭痛や肩こりに長年悩まされている」

    もし、これらの中に一つでも当てはまるものがあれば、それは寝ている間や集中している時の「歯ぎしり(ブラキシズム)」や「食いしばり(クレンチング)」が原因かもしれません。
    八千代緑が丘駅直結の「公園都市プラザわかば歯科」では、顎咬合学会認定医の資格を持つ院長が、お口の中のサインを見逃さず、大切な歯を守るための根本的なアプローチを提案いたします。

     

    歯ぎしり・食いしばりは「歯を失う」最大のリスク要因の一つ

    八千代緑が丘駅より徒歩1分の歯医者、公園都市プラザわかば歯科の歯ぎしり、食いしばり

    むし歯や歯周病ではないのに歯を失ってしまう原因。その多くは、過度な「力(ちから)」によるものです。

    食事の際にかかる力は、せいぜい自分の体重の半分程度です。
    しかし、睡眠中の無意識な歯ぎしりでは、自分の体重の2倍〜5倍(100kg〜数100kg)もの凄まじい力が歯や顎にかかると言われています。


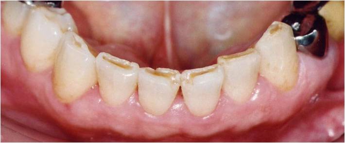
    歯ぎしりが引き起こす「お口のトラブル」

    歯の摩耗・欠け
    歯の表面のエナメル質が削れ、象牙質が露出して知覚過敏を引き起こします。

    歯の破折(ヒビ)
    健康な歯であっても、金属のバールで叩き続けるような力が加われば、根元からパカッと割れてしまうことがあります(抜歯の主な原因です)。

    詰め物・被せ物の脱離
    セラミックや銀歯が何度も外れたり、割れたりするのは、噛み合わせのバランスと過剰な力が原因であることがほとんどです。

    歯周病の悪化
    歯を支える骨に過度な負担がかかり、歯周病の進行を劇的に早めてしまいます。

     

    あなたは大丈夫?「セルフチェックリスト」

    歯ぎしりは無意識に行われるため、自覚がない方がほとんどです。
    以下の項目に心当たりはありませんか?

    朝起きたとき、顎の関節周りや頬の筋肉が強張っている。

    集中しているとき(PC作業や家事など)、気づくと上下の歯を接触させている。

    舌の側面に歯の跡(ガタガタした跡)がついている。

    頬の内側に、白い横線(噛んだ跡)がある。

    下顎の内側や上顎の真ん中に、硬い骨の隆起(骨隆起)がある。

    歯の先端が真っ直ぐに削れて、平らになっている。

    知覚過敏があり、複数の歯が冷たいものにしみる。

    一つでも当てはまる場合は、お口の健康が脅かされているサインです。

     

    日本顎咬合学会認定医による「噛み合わせ」診断

    八千代緑が丘駅より徒歩1分の歯医者、公園都市プラザわかば歯科の歯ぎしり、食いしばり

    当院では、単にマウスピースを作るだけでなく、なぜその力が発生しているのか、どこに負担が集中しているのかを精密に診断します。


    歯科CTとデジタル分析
    顎の関節の状態を歯科用CTで3次元的に確認します。
    顎関節に負担がかかっていないか、骨の変形がないかを精査し、将来的な顎関節症のリスクを判定します。

    TCH(歯の接触癖)へのアプローチ
    通常、上下の歯が接触している時間は1日のうち合計で「わずか20分程度(食事中など)」です。
    それ以外の時間に歯が触れ合っている状態をTCHと言い、これが筋肉を緊張させ、寝ている間の激しい歯ぎしりを誘発します。
    当院では認知行動療法に基づいた生活習慣のアドバイスも行っています。

     

    大切な歯を守るための治療法

    当院では、患者さまの症状に合わせて最適な対策を組み合わせます。

     

    ナイトガード(マウスピース治療)

    八千代緑が丘駅より徒歩1分の歯医者、公園都市プラザわかば歯科の歯ぎしり、食いしばり

    最も一般的で効果的な方法です。
    就寝中に装着することで、以下のメリットがあります。


    歯のクッション材
    歯と歯が直接こすれ合うのを防ぎ、摩耗や破折を防ぎます。

    顎関節の負担軽減
    噛み合わせの高さを適切に設定することで、顎関節への圧迫を和らげます。

    筋肉の緩和
    筋肉の緊張をリセットし、朝の目覚めを健やかにします。

     

    精密な噛み合わせ調整

    八千代緑が丘駅より徒歩1分の歯医者、公園都市プラザわかば歯科の歯ぎしり、食いしばり

    特定の歯だけに強い力がかかっている場合、マイクロスコープを使用してミリ単位の調整を行います。
    全体のバランスを整えることで、特定の歯が「壊れる」のを防ぎます。

     

    補綴(被せ物)による改善

    八千代緑が丘駅より徒歩1分の歯医者、公園都市プラザわかば歯科の歯ぎしり、食いしばり

    すでに歯が削れて噛み合わせが低くなっている場合、セラミックなどの材料を用いて本来の噛み合わせの高さを復元します。
    これにより、顔の筋肉のバランスも改善されます。

     

    【重要】審美歯科や根管治療を成功させるために

    せっかく精密根管治療で歯の根をきれいにしても、あるいは審美歯科で美しいセラミックを入れても、歯ぎしりを放置していれば「割れる」「外れる」という結果を招きます。
    当院では、自費診療(インプラント、セラミック、精密根管治療)を行うすべての患者さまに対し、術後のナイトガード着用を強く推奨しています。
    これは、「治療した歯を一生守り抜くため」の最も重要で、最もコストパフォーマンスの高い投資なのです。

     

    歯ぎしり・食いしばりに関するよくあるご質問(FAQ)

    Qナイトガードは保険で作れますか?
    Aはい、保険診療で作製可能です。当院では、患者さま一人ひとりの歯型に合わせて、違和感の少ない精密なマウスピースを作製します。
    Q市販のマウスピースでも代用できますか?
    Aお勧めしません。市販の「お湯でふやかして作るタイプ」は適合が悪く、逆に噛み合わせを悪化させたり、顎関節症を誘発したりするリスクがあります。歯科医院で型取りをして作るものとは精度が全く異なります。
    Q子供も歯ぎしりをしますが、大丈夫でしょうか?
    Aお子さまの歯ぎしりは、乳歯から永久歯への生え変わりや、顎の成長に伴う「必要な調整」である場合が多いです。基本的には様子を見て大丈夫ですが、あまりに激しい場合や痛みがある場合は、一度小児歯科検診を兼ねてご相談ください。
    Qナイトガードはどのくらいで作り直すべきですか?
    A歯ぎしりの強さによりますが、穴が開いたり、汚れが目立ってきたりした場合は作り直しが必要です。定期的(3〜6ヶ月)なメインテナンス時に、すり減り具合を確認させていただきます。

     

PAGE TOP

駐車場5台あり

綾瀬亀有ロハス歯科&矯正歯科でMI治療